大多数人都知道,人体的肝脏器官虽然只有巴掌大小,但它却是人体中最要的排毒器官和新陈代谢,消化系统制造胆汁的加工厂。医学上被称为“最沉默的器官”,那么肝脏不好会有哪些症状呢?

1、喝酒很容易醉
有些人喝酒时看似没有喝多少,但已经感觉到已经有点醉了,但在以前酒量很大,如果遇到这种情况,提醒你说明肝受损了,肝功能下降了,所以肝脏不能完全分解酒精的乙醛了。

2、身体有了伤口非常容易化脓感
因为肝脏对人体起到新陈代谢的作用,肝功能受损皮肤的伤口再生能力就会受到一些阻碍,还很容易引起细菌感染。

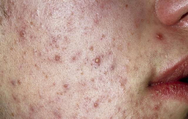
3、粉刺增多
人体中的黄体荷尔蒙有促进分泌皮脂的作用,肝脏可以调理该荷尔蒙含量,以到达身体可顺应的最佳形态,肝脏功用下降会招致皮脂分泌增多,粉刺增多。
4、色斑暗疮此起彼伏,总也消停不了
肝脏负责帮助人体调节气血水液,维持人体代谢正常。肝气疏泄正常,气血就不会瘀滞。

另外肝不好的人,大部分这2个部位就会变臭!
第一个、口臭
如果你早上起床以后,总感觉口苦口干有口臭,那是因为你的肝气不通畅,体内瘀滞恶臭的毒素太多引起的。它会通过呼吸把体内的霉味和臭味从口中排出!说明你的肝脏“藏毒”太多了,必须要排毒了!

第二个、体臭
我们的肝脏就像一台计算机,当它超负荷的时分,也会“发热”,运转缓慢。由于肝脏是我们身体中很大的一个器官,它很容易把热量传递给身体的其他局部,于是我们的身体就会试图经过过度出汗来冷却本人,后果就会招致体味过重。

肝脏是人体中最重要的排毒器官,一定要重视,所以养肝护肝势在必行,而蒲公英根自古以来,就是保肝护肝的最佳法宝,它不仅保护肝脏,更对修复肝组织损伤有非常好的功效,所以保肝护肝一般首选蒲公英根。经常喝蒲公英根茶不仅保护肝脏,还可以促进身体的健康。
